JAMI DENT
Naše práce
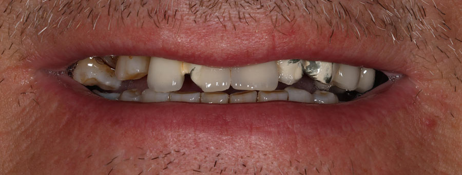
Protetické ošetrenie
Po absolvovaní niekoľkých ošetrení a zhotovení individuálneho liečebného plánu, sú možné aj takéto estetické premeny úsmevu a tváre, ktoré vám zmenia život!
Bielenie zubov
Výsledky zobrazujú zosvetlenie odtieňa zubov po aplikácií bieliaceho gélu do individuálnych dláh na noc po dobu 14 dní.
Ošetrenie zubného kazu
Výmena starých výplní, ošetrenie kazov a nové prirodzene tvarované fotokompozitné výplne.
Ošetrenie koreňových kanálikov
Dôkladne zaplnený a vydezinfikovaný koreňový systém zubu je základným predpokladom na to, aby vás zub netrápil a dlhodobo fungoval. S takýmito zákrokmi máme bohaté skúsenosti a ošetrujeme mnohé náročné, aj delegované prípady.


























